Next Generation. Now Realized. 

The uPMR 790 enables simultaneous PET/MRI imaging with high temporal and spatial resolution. Next generation PET and MRI technologies redefine routine clinical imaging of real-time anatomical and functional imaging, while redefining cutting edge research imaging.

With a 32 cm Time-of-Flight (TOF) digital PET technology, industry leading 2.8 mm NEMA resolution and high sensitivity, the uPMR 790 delivers exceptional PET image quality that is built upon the uEXPLORER® technology.

Redefining Precision PET Imaging

Empowered by United Compressed Sensing (uCS® 2.0) for ultra fast acquisition, powerful 45 mT/m; 200 T/m/s gradient performance, and world class homogeneity, the uPMR 790 produces fast, high-resolution MR imaging.

Redefining Cutting Edge MRI

The uSync research platform facilitates new research opportunities, including simultaneous tracking of PET and MR tracers, simultaneous cardiac PET and MR, functional neurological PET/MR, and multi-parametric radiomics.

Redefining PET/MR Research

uPMR 790 3T MRI HD TOF PET with stylistic wave and system outlined in wireframe showing PET detectors and MR magnet

Founded on Innovation

Stylized blue 3D illustration of the inside of an MRI magnet

Best In-Class Uniform Magnet

Unmatched homogeneity (0.055 ppm @ 30 cm DSV (Typical)), means that you can reliably achieve skin-to-skin fat saturation, while the spacious 50 x 50 x 50 cm field-of-view allows for easy patient positioning.

An SiPM digital PET circuit board with a portrait style focus on a black background

Digital LYSOPET Detectors

The ultra-large 32 cm PET FOV and high timing resolution and sensitivity shorten whole-body exam times while capturing more signal data.

An animated diagram showing uCS 2.0 platform for accelerated MRI acquisition

United Compressed Sensing (uCS 2.0)

uCS 2.0 is a novel approach to Compressed Sensing (CS) which incorporates prior knowledge of Partial Fourier, Parallel Imaging, and CS as weightings to mitigate artifacts and allows for exceptional acquisition speed and image quality. 

Finely cut uPMR 790 LYSO crystals are back lit by a soft yellow light

2.8 mm NEMA PET Resolution

The 2.8 mm NEMA PET spatial resolution enables the precise detection of subtle lesions, providing comprehensive imaging for staging, treatment planning, and response assessment. 

A side by side comparison of OSEM PET reconstruction and  ROSEM HYPER iterative PET reconstruction clearly showing high fidelity benefits of ROSEM 

HYPER Iterative Reconstruction (ROSEM)

HYPER Iterative automatically finds the optimal converged solution resulting in reconstructed images with higher quantitative accuracy and better signal-to-noise ratio.

Innovation that Delivers

Faster scanning of PET/MR Patients

With the long axial PET field-of-view and ultra fast MR acquisition of uCS 2.0 you can provide PET/MR scanning at higher speeds.

Accessible PET/MR

Several technologies combine to optimize workflow and make PET/MR more accessible, such as EasyPlan automatic bed planning, EasyScan 1-click MR scanning, intelligent image quality control, and intelligent MR-based attenuation correction.

Low Dose Imaging

With the high sensitivity of the SiPM digital detectors less tracer can be used for all patients including pediatrics.

Empowers Clinical research

The uSync research platform enables new levels of PET/MR research with simultaneous encoding of MRI sequences, list-mode PET data, and physiological information into the same raw data stream, fulfilling space-time synchronization. 

Outcome of Innovation

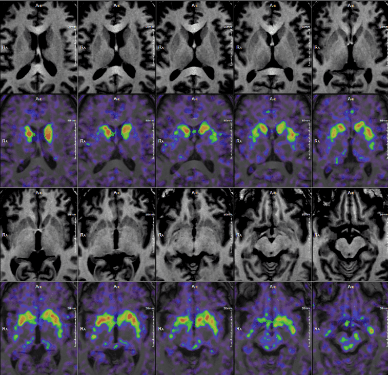
PET/MRI of the Brain with Parkinson’s
18F-DOPA used for diagnosing Parkinson's disease populations
PET/MRI of the Breast  with a Lesion
Multi-parametric PET/MR for Comprehensive Breast Evaluation*
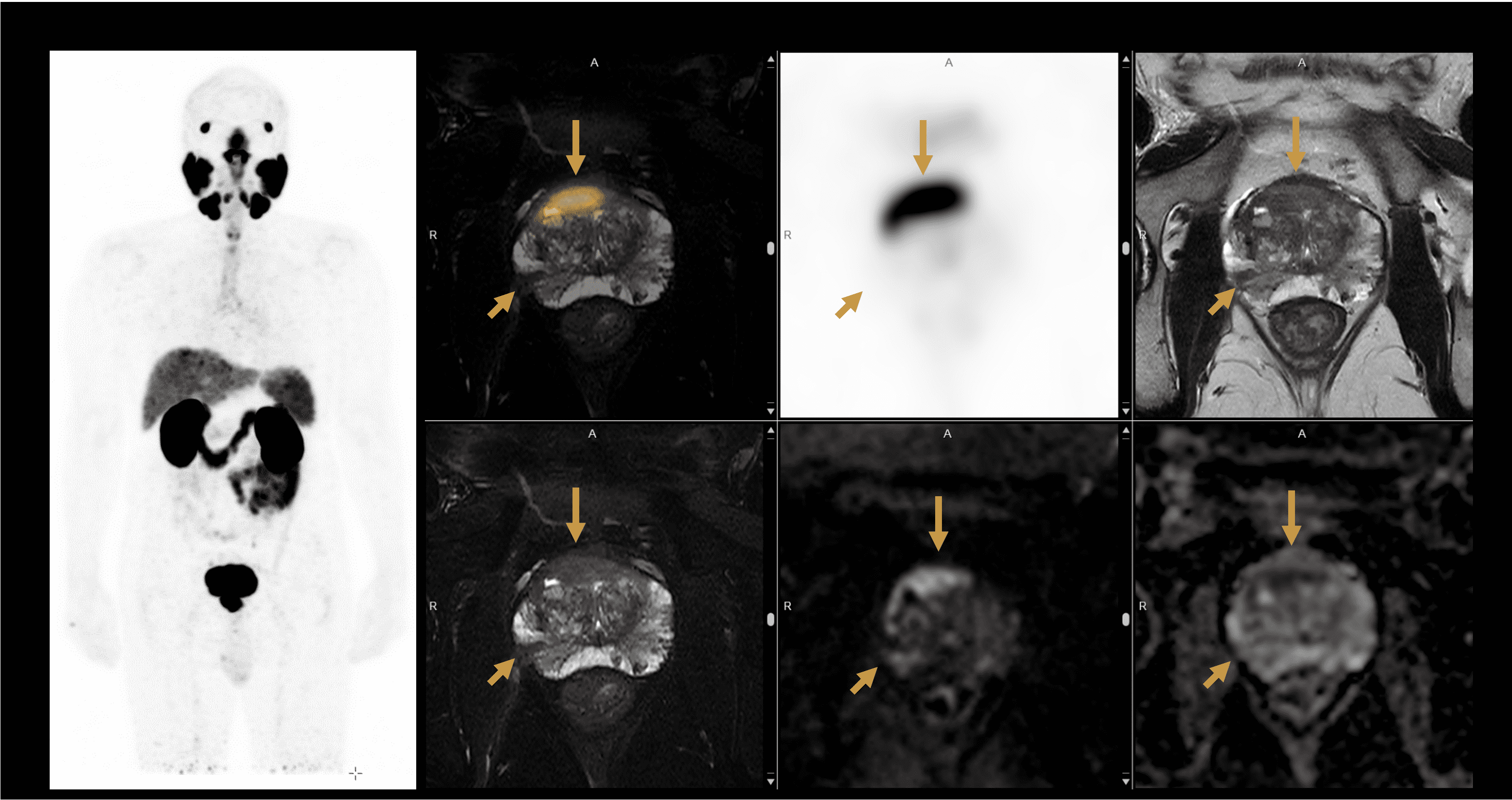
PET/MRI of the Prostate  with a Lesion
Assessment of prostate cancer with 68Ga-PSMA**
PET/MRI of a pediatric patient with lymphoma
9 min high resolution whole-body PET/MR exam with low radiation dose*
Isotropic Whole-Body Imaging***
Images Courtesy Of First Affiliated Hospital of Dalian Medical University
*Images Courtsey Of Nanjing First Hospital
**Images Courtesy Of United Imaging
***Images Courtesy Of Shanghai East Hospital

Thank you

We have received your inquiry, and we will get back to you shortly.
Close