Precision. Accelerated.​

The uCT 780 is an advanced 160-slice CT scanner, offering superb precision, speed, and image quality. With its fully integrated Z-Detector and fast rotation speed of 0.3 seconds, the uCT 780 can produce exquisite, low-dose images of the heart and other organs. Being born with AI, the uCT 780 can automate many tasks, making it easier and faster to complete the most demanding daily routines.​

The ultra-low electronic noise Z-Detector and robust imaging chain​ enable excellent image quality to clearly see fine details at a low dose. ​

Designed for Image Quality and Low Dose​

Born with intelligence, the system provides an efficient, standardized and personalized scanning experience for each patient.

Designed for Ease

The uCT 780 comes fully configured to image a wide variety of patient and exam types to meet your needs today and tomorrow.

Designed for Growth 

uCT 780 CT scanner on a black background​

Founded on Innovation

Z-Detector on black background​

Innovative Z-Detector 

The Z-Detector reduces electronic noise, improves the signal-to-noise ratio (SNR) and provides more detailed images.

CT scanner with model on it showing a clinical image with efficient workflow.​

Efficient Workflow ​

Our Al-empowered workflow enables fast and reproducible positioning with a single click and automatically selects the scan range based on the scout, optimizing image quality and dose to the patient.

CT clinical image with numbers

Precision in Image Reconstruction ​

With a 0.5 mm collimation, finer structures are better visualized with every scan. A 1024 x 1024 reconstruction matrix enhances the spatial resolution and helps reveal the smallest of details for the most challenging examinations.​

Blue stylized outline of human body with orange heart​

Comprehensive Cardiac Imaging ​

The 0.3s rotation speed improves temporal resolution providing comprehensive and reliable cardiac imaging.​

Animation of Auto ALARA kVp technology showing CT dose distribution​

Precision in Dose Control   

The uCT 780 comes standard with multiple dose control features such as a 70 kVp scan mode and Auto ALARA kVp which generates an optimized dose distribution plan for every individual scan.

Innovation that Delivers

High Quality and Low Dose Images​

With a robust imaging chain that includes Z-Detector technology, 0.3s rotation speed, 100 kW generator power and Auto ALARA kVp obtaining images with high quality at a low dose is effortless.​

Maximize Patient Throughput

Combining powerful hardware and the uAI® Vision technology, the uCT 780 provides a streamlined workflow that adapts to your growing department needs and works to support a large daily patient throughput while maintaining high image quality.

Enabling Clinical Flexibility ​

The uCT 780 enables you to image a wide variety of patients and exam types, including pediatric patients, patients with metal implants, angiography and cardiology exams. From routine scans to advanced CT imaging, the uCT 780 can help you provide comprehensive care and image your patients with confidence.​

Expand Your Clinical Services

As part of our All In Configurations™, the uCT 780 comes fully configured with all available software features and advanced applications. This gives you the flexibility to use these features immediately or in the future, allowing you to expand your clinical services without additional investments in software. ​

Outcome of Innovation

Bariatric abdomen and ​ pelvis exam acquired on United Imaging CT​
Bariatric abdomen/pelvis ​ exam reveals hernia​
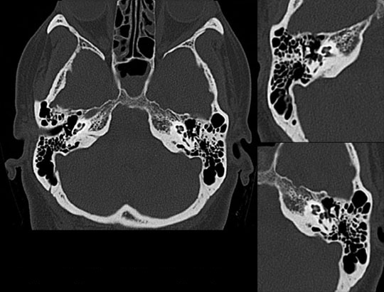
Inner ear CT image ​ acquire on United Imaging CT​
Fine details of inner​ ear revealed with high spatial resolution*
Aortic dissection clinical image ​ acquired on United Imaging CT​
Aortic Dissection**​
Low dose cardiac clinical image​ acquired on United Imaging CT​
Cardiac imaging with 70 kVp and 40 ml contrast***​
Carotid CTA clinical image ​ acquired on United Imaging CT​
Carotid CTA**​

Images Courtesy Of Saint Joseph's Regional Medical Center, Indiana

*Images Courtesy Of Memorial MRI and Diagnostics, Texas

**Images Courtesy Of United Imaging

***Images Courtesy Of Nanjing Drum Tower Hospital

Thank you

We have received your inquiry, and we will get back to you shortly.
Close